Client Services:800-959-2846|Billing:949-374-5019
Client Services:800-959-2846|Billing:949-374-5019
Signed in as:
filler@godaddy.com

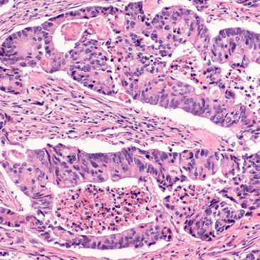
Gastrointestinal endoscopy and the acquisition of tissue samples are essential for the diagnosis and treatment of various diseases of the digestive system. A range of tissue samples are extracted and are analyzed under a microscope using a Hematoxylin & Eosin stain, and in some cases, immunohistochemical and special stains to identify c
Gastrointestinal endoscopy and the acquisition of tissue samples are essential for the diagnosis and treatment of various diseases of the digestive system. A range of tissue samples are extracted and are analyzed under a microscope using a Hematoxylin & Eosin stain, and in some cases, immunohistochemical and special stains to identify cancerous cell abnormalities. If cancer is present, it can be localized to the exact region from the location of the tissue extraction.

This test identifies patients with high risk Barrett’s esophagus that have an increased probability of progression to esophageal cancer. The test employs cytology, immunohistochemistry (IHC), and fluorescence in situ hybridization (FISH) methodologies, in concert, to differentiate between patients that require aggressive invervention ver
This test identifies patients with high risk Barrett’s esophagus that have an increased probability of progression to esophageal cancer. The test employs cytology, immunohistochemistry (IHC), and fluorescence in situ hybridization (FISH) methodologies, in concert, to differentiate between patients that require aggressive invervention versus candidates for reduced surveillance. The test can be performed on both biopsies and brushings from patients with Barrett's esophagus. The biomarkers associated with BE FISH can be ordered as a panel (BE FISH+) or individually based on the needs of the ordering physician.
Review our requisition for a complete list of the Gastroenterology services that we provide

The therascreen KRAS is a real-time, qualitative in vitro diagnostic test for the detection of 7 somatic mutations in the KRAS oncogene using a sample of DNA extracted from formalin-fixed, paraffin-embedded (FPPE) non-small cell lung cancer (NSCLC) tissue and colorectal cancer (CRC) tissue.
The therascreen KRAS is an FDA-approved companion diagnostic (CDx) PCR test intended to aid in the identification of NSCLC patients for treatment with LUMAKRAS (sotorasib) or KRAZATI (adagrasib) based on a KRAS G12C Mutation Detected result. In addition, the test is also an FDA-approved CDx test to aid in the selection of patients with CRC who may be eligible for treatment with Erbitux (cetuximab) or Vectibix (panitumumab), based on a KRAS No Mutation Detected test result.

The therascreen BRAF test enables qualitative detection of V600E mutations in the BRAF gene. It is an FDA-approved CDx assay to identify patients with cases of metastatic colorectal cancer for whom treatment with BRAFTOVI (encorafenib) in combination with cetuximab may be appropriate.

GI Detect™ is a stool based test designed to identify pathogens commonly associated with gastrointestinal infections. Utilizing PCR technology, we are able to detect the presence of 21 pathogens. Our turnaround time for the test is 24 hours.
Our comprehensive test was developed to detect bacteria, viruses, and parasites known to deliver increased sensitivity in detecting gastrointestinal pathogens known to disrupt the digestive system. With our increased sensitivity, you can feel confident in getting to the right answer with our GI Detect Panel.
Review our requisition for a complete list of the Gastroenterology services that we provide.
Copyright © 2026 Emeritus Medical Technology - All Rights Reserved.